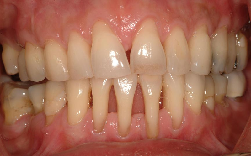
В начале развивается гингивит, способствующий патологическим изменениям в более глубокорасположенных тканях. Впоследствии возникает необходимость удаления одного или нескольких зубов, нарушается прикус, а при серьезных осложнениях снижается слуховая способность.

Профилактика пародонтита: что приводит к заболеванию
В группе риска — люди, возраста от 30 до 40 лет. Но воспаление может развиться и в юношестве.
Причины возникновения пародонтита:
- несоблюдения правил гигиены полости рта – основная и главная причина пародонтита;
- изменения или нарушения в работе эндокринной системы или любой другой системы организма, особенно это касается нарушений в работе ЖКТ;
- отложения на зубах: налет и зубной камень;
- некачественно выполненное пломбирование или протезирование;
- искривление положения зубов, неправильный прикус.
Поддесневой зубной камень, неотполированные края пломбы или плохоприлегающие коронки вызывают скапливание налета. Впоследствии, разрастаясь, зубной камень растет вглубь, в поддесневое пространство, вызывая воспаления, отодвигание десны, подвижность зубов и разрушение костной ткани окружающей зуб.
КАК ИЗБЕЖАТЬ ПАРОДОНТИТА?
Распространенная фраза стоматологов: лучше предотвратить, чем лечить. И они правы. Соблюдая простые правила можно избавить себя от болезненных ощущений и траты финансов на избавление от них.
Против пародонтита список профилактических мер выглядит так:
- Лечение зубов проводить у квалифицированных специалистов. Качественно отполированные, выполненные из современных материалов пломбы и плотно прилегающие коронки способны противостоять образованию под ними налета.
- Устранять имеющиеся проблемы с прикусом с помощью капп, брекетов и других систем.
- Механическая чистка зубов — два раза в день, в идеале — после каждого приема пищи. С детского возраста. Продолжительность — не менее трех минут.
- Использование зубной нити и ершиков для очищения межзубного пространства.
- Для труднодоступных мест использовать специальные ершики, флоссы, теплы.
- Посещение стоматологического осмотра один раз в полгода. В такое посещение нужно обязательно проводить профессиональную гигиену полости рта.
- Обязательно ежедневно употреблять овощи и фрукты, принимать твердую пищу.

Аппарат «Вектор» – эффективное лечение пародонтита в «Семейной стоматологии»
Стоматологи клиники используют современные методики. Аппарат «Вектор» обеспечивает проведение лечебных и профилактических мер против пародонтита.
В процессе работы прибора происходит подача специальной смеси из активных частиц гидроксиапатита. С помощью вибрационных волн образуется ультразвуковое поле, в котором они перемещаются, очищая пространство от отложений в зубодесневом кармане, удаляя пораженные микробами ткани и полируя эмаль.
Преимущества применения аппарата:
- отсутствие боли;
- отсутствие тревоги у пациента, так как не требуется анестезия и специальная подготовка;
- глубина очистки — до 11 мм (обычные ультразвуковые приборы чистят до 5 мм);
- не противопоказан детям, пожилым;
- при необходимости ставит микропломбы и запечатывает микротрещины.
В список процедур, осуществляемых с помощью этого аппарата, входит проверка пародонтальных карманов для выявления воспалений. Манипуляция проходит быстро и без болевых ощущений. С этим прибором вылечить пародонтит становится проще.