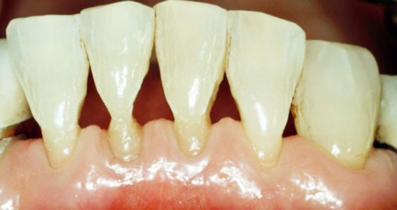
Процесс, когда десна «слезает» с зуба стоматологи называют оголением или рецессией десны. Этот процесс сопровождается болезненными ощущениями и приводит к неприятным результатам:
- возникает клиновидный дефект;
- дёсны отекают, кровоточат;
- зубы становятся более хрупкими, легче травмируются;
- кариес быстрее находит дорогу к дентину зуба;
- зубы становится более чувствительной.
Эти моменты ещё можно пережить, некоторые пациенты годами мирятся с таким дефектом, не посещая стоматолога. Но невылеченная патология приведёт к потере зуба. И, если человек заботится о своих зубах, то должен знать – почему оголяется шейка зуба, как это лечить и как предотвратить.
ПРИЧИНЫ ОГОЛЕНИЯ ШЕЙКИ ЗУБА
Шейка и корень зуба могут оголиться по одной из следующих причин:
- патология прикуса, приводящая к травме десны;
- ошибки в уходе за зубами;
- скопление налёта на зубах;
- появление зубного камня;
- тонкий биотип слизистой, с малым количеством соединительной ткани;
- ошибки в стоматологическом и пародонтологическом лечении;
- отсутствие соседних зубов.
При утончении соединительной ткани (как следствие генетических особенностей организма или в результате неправильного ухода), появляется пародонтальный карман и оголение шейки. В этой полости размножаются бактерии, приводя к серьёзным заболеваниям. Как правило, это заболевание приводит к ещё более глубокому оголению.
СИМПТОМЫ ОГОЛЕНИЯ
Заподозрить у себя появление утончения соединительной ткани и оголения шейки зуба можно по следующим признакам:
- во время чистки зубов или при надкусывании твёрдой пищи наблюдается кровоточивость;
- десна припухла, покраснела;
- дискомфорт в области дёсен;
- появилась боль в корне.
Если не лечить, то симптомы усугубятся:
- появится неприятный запах изо рта;
- зуб начнёт шататься;
- возникнет пародонтальный карман;
- разовьётся воспаление.
СТОМАТОЛОГИЧЕСКОЕ ЛЕЧЕНИЕ ОГОЛЕНИЯ ШЕЙКИ ЗУБА

Перед тем как приступить к лечению оголения, врач определяет причину заболевания. От этого зависит выбор методики воздействия. Если причиной стали зубные камни, то сначала удаляют их, а потом доктор занимается лечением дёсен. Если снижение уровня десны произошло вследствие неправильной гигиены полости рта (выбор слишком жёсткой щётки, например), то после медицинского вмешательства, стоматолог даёт подробные рекомендации, как ухаживать за зубами и дёснами правильно. При патологиях прикуса, ортодонт делает слепок, чтобы назначить коррекцию. Если прикус не исправить, то после лечения оголения, десна снова начнёт истончаться и опускаться.
В случае отсутствия рядом расположенных зубов также необходимо произвести протезирование отсутствующих зубов, иначе рецессии будут возвращаться.
Медицинское вмешательство для устранения рецессии бывает терапевтическим и хирургическим. Терапевтический способ заключается в следующих мероприятиях:
- определение места оголения. Пациент сжимает некрепко зубы, врач определяет, где зубы соприкасаются друг с другом;
- пломбирование оголённой части;
- удаление зубного камня;
- шлифовка краёв пломбы;
- курс реминерализации эмали – специальные кальцийсодержащие препараты наносят на зуб, укрепляя его;
- курс фторирования эмали – на зубы наносятся специальные фторсодержащие гели.
Если поражение слишком тяжелое, то после терапевтического лечения назначается хирургическое. Оно включает в себя:
- лоскутную хирургию десны – оголённая часть закрывается соединительной тканью, которую берут с нёба пациента;
- установка виниров.
После лечения, доктор «Семейной стоматологии» объяснит пациенту, как ухаживать за зубами и дёснами правильно, не повреждая их.
МОЖНО ЛИ ИСПОЛЬЗОВАТЬ НАРОДНЫЕ СРЕДСТВА ДЛЯ ЛЕЧЕНИЯ ОГОЛЕНИЯ ЗУБОВ?
Многие пациенты спрашивают, а можно ли вылечить рецессию десны в домашних условиях, с применением народных средств. С одной стороны, существует много растительных препаратов, которые укрепляют дёсны. Но такие методы подходят в качестве профилактики. А если оголение уже появилось, ни одно народное средство не восстановит десну.
Стоматологи сами рекомендуют профилактические мероприятия:
- массаж дёсен с применением масел из цитрусовых фруктов, эвкалипта или мяты;
- полоскание настоем зверобоя;
- компрессы для дёсен на основе пихты, ели, облепихи;
- полоскание настойкой дубовой коры.
Людям, у которых есть предрасположенность к рецессии, рекомендуют специальные лечебные пасты для чувствительных зубов и ополаскиватели, которые укрепляют дёсны.
Но все эти меры следует применять только, посоветовавшись с врачом. Бытует мнение, что народные средства безопасны, но существует индивидуальная непереносимость каких-то компонентов народных рецептов.
Рецессия десны опасный процесс – если его не лечить, можно не только потерять зуб, но и допустить развитие воспаления, которое приведёт к заражению всего организма.